Home    » Testimonials    »

Photo Gallery

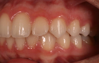
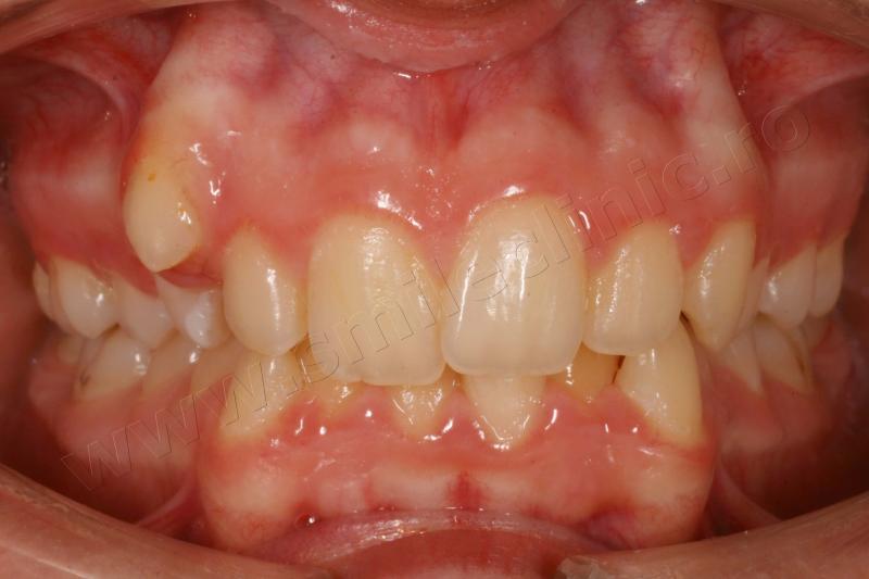
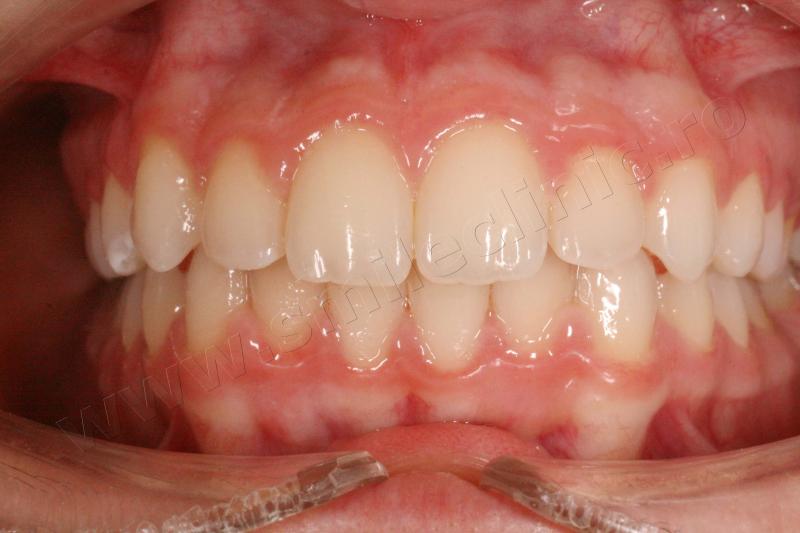
Impacted canine
Impacted canine
Impacted canine
Impacted canine
Impacted canine
Impacted canine
Crisan Orthodontics
Crisan Orthodontics
Smile Clinic

Photo&video gallery

Smileclinic
Smileclinic
Smileclinic
Smileclinic

Latest news

18 / aug

...
Smile Clinic Facebook Smile Clinic Twitter Smile Clinic Google Plus